Your dream smile in 4 easy steps!
1. Complimentary Consultation
Meet with Dr. Adcox and Dr. Diggs to determine if Smile Express is right for you. We’ll walk through the process, answer your questions, and create a plan tailored to your smile goals.
2. Digital Smile Scan
We use the iTero® digital scanner to capture precise 3D images of your teeth. No messy impressions. You’ll even see a preview of what your smile can look like after treatment.
3. Custom Aligners Delivered
Your Invisalign® aligners are custom made and shipped directly to your door, along with everything you need to stay on track throughout treatment.
4. Smile With Confidence
Wear your aligners 20 to 22 hours per day, removing them only to eat, brush, and floss. Over time, you’ll see your smile transform comfortably and conveniently.
Features and Benefits
An invisalign program designed specifically for you
Straight teeth in as little as 6 months
Only takes 1 in-person visit, and the rest is virtual
Real, trusted orthodontists

Testimonals
What Real Patients Are Saying
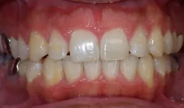
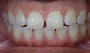
Before and After


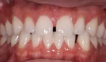
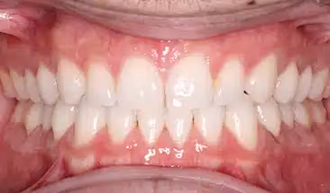
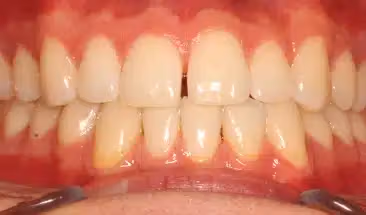
Before
After
Adrian
Corrected
Spacing


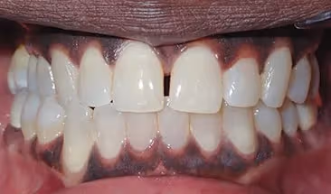
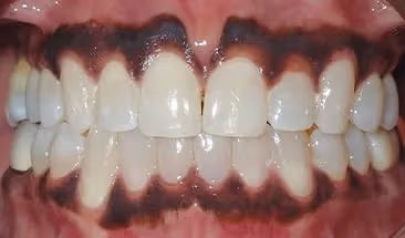
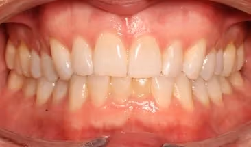
Before
After
Anita
Corrected
Spacing | Crossbite


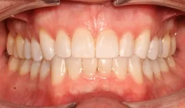
Before
After
Austin
Corrected
Spacing


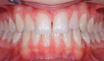
Before
After
Briana
Corrected
Spacing | Openbite


Before
After
David
Corrected
Create width | Reduce lower crowding


Before
After
Denise
Corrected
Crowding | Overbite


Before
After
Jerrod
Corrected
Spacing on upper arch


Before
After
Juan
Corrected
Close all spacing | Focus upper arch


Before
After
Larry
Corrected
Spacing on both arches
Experience
5-Star Care


We work hard to make sure every aspect of your experience — from the beginning to well after treatment has ended — feels special. See what other patients have to say!






